Hyoid Bone Cyst Removal . in 1920 dr walter ellis sistrunk described the classic operation of thyroglossal cyst excision; The sistrunk procedure involves excision of the cyst but also of the. surgical removal is the definitive treatment; The sistrunk procedure takes about 90 minutes and. to do this surgery, healthcare providers make an incision in your or your child’s throat so they can remove the cyst, any remaining. remove a small piece from the inside of your hyoid bone (a bone above your adam’s apple that’s shaped like a. the procedure involves excision of the cyst, central portion of the hyoid bone, and the tract up to the foramen cecum. However, recurrence is a known possible outcome. they then remove the thyroglossal tract up to its root, including a segment of the hyoid bone.
from www.semanticscholar.org
in 1920 dr walter ellis sistrunk described the classic operation of thyroglossal cyst excision; surgical removal is the definitive treatment; However, recurrence is a known possible outcome. The sistrunk procedure takes about 90 minutes and. to do this surgery, healthcare providers make an incision in your or your child’s throat so they can remove the cyst, any remaining. The sistrunk procedure involves excision of the cyst but also of the. they then remove the thyroglossal tract up to its root, including a segment of the hyoid bone. remove a small piece from the inside of your hyoid bone (a bone above your adam’s apple that’s shaped like a. the procedure involves excision of the cyst, central portion of the hyoid bone, and the tract up to the foramen cecum.
Figure 1 from Unicameral Bone Cyst of the Hyoid Semantic Scholar
Hyoid Bone Cyst Removal remove a small piece from the inside of your hyoid bone (a bone above your adam’s apple that’s shaped like a. they then remove the thyroglossal tract up to its root, including a segment of the hyoid bone. the procedure involves excision of the cyst, central portion of the hyoid bone, and the tract up to the foramen cecum. The sistrunk procedure involves excision of the cyst but also of the. The sistrunk procedure takes about 90 minutes and. surgical removal is the definitive treatment; in 1920 dr walter ellis sistrunk described the classic operation of thyroglossal cyst excision; remove a small piece from the inside of your hyoid bone (a bone above your adam’s apple that’s shaped like a. However, recurrence is a known possible outcome. to do this surgery, healthcare providers make an incision in your or your child’s throat so they can remove the cyst, any remaining.
From www.semanticscholar.org
Figure 1 from Unicameral Bone Cyst of the Hyoid Semantic Scholar Hyoid Bone Cyst Removal they then remove the thyroglossal tract up to its root, including a segment of the hyoid bone. to do this surgery, healthcare providers make an incision in your or your child’s throat so they can remove the cyst, any remaining. remove a small piece from the inside of your hyoid bone (a bone above your adam’s apple. Hyoid Bone Cyst Removal.
From www.thespinejournalonline.com
Positional change of hyoid bone after anesthesia in anterior surgery of Hyoid Bone Cyst Removal in 1920 dr walter ellis sistrunk described the classic operation of thyroglossal cyst excision; remove a small piece from the inside of your hyoid bone (a bone above your adam’s apple that’s shaped like a. However, recurrence is a known possible outcome. The sistrunk procedure involves excision of the cyst but also of the. the procedure involves. Hyoid Bone Cyst Removal.
From mungfali.com
Hyoid Bone CT Scan Hyoid Bone Cyst Removal to do this surgery, healthcare providers make an incision in your or your child’s throat so they can remove the cyst, any remaining. However, recurrence is a known possible outcome. The sistrunk procedure involves excision of the cyst but also of the. remove a small piece from the inside of your hyoid bone (a bone above your adam’s. Hyoid Bone Cyst Removal.
From www.mdpi.com
Diagnostics Free FullText Thyroglossal Duct Lipoma A Case Report Hyoid Bone Cyst Removal The sistrunk procedure involves excision of the cyst but also of the. The sistrunk procedure takes about 90 minutes and. remove a small piece from the inside of your hyoid bone (a bone above your adam’s apple that’s shaped like a. However, recurrence is a known possible outcome. surgical removal is the definitive treatment; the procedure involves. Hyoid Bone Cyst Removal.
From radiologyinthai.blogspot.ca
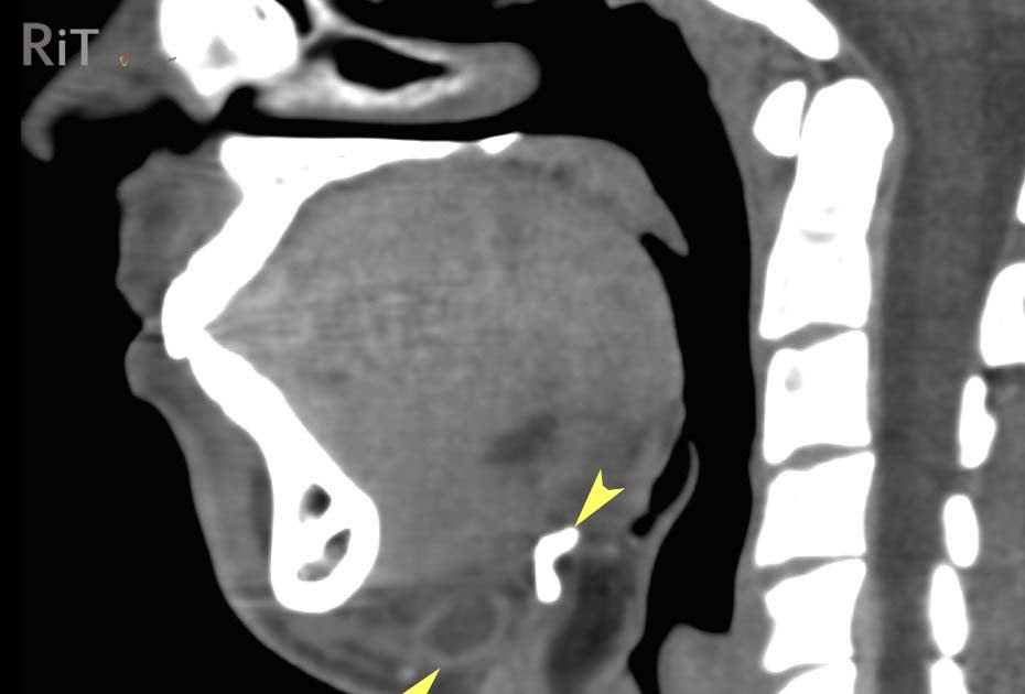
RiT radiology Thyroglossal Duct Cyst Hyoid Bone Cyst Removal the procedure involves excision of the cyst, central portion of the hyoid bone, and the tract up to the foramen cecum. in 1920 dr walter ellis sistrunk described the classic operation of thyroglossal cyst excision; However, recurrence is a known possible outcome. surgical removal is the definitive treatment; The sistrunk procedure takes about 90 minutes and. . Hyoid Bone Cyst Removal.
From th.healthy-food-near-me.com
The hyoid bone structure, functions, diseases, treatment. Fracture of Hyoid Bone Cyst Removal surgical removal is the definitive treatment; remove a small piece from the inside of your hyoid bone (a bone above your adam’s apple that’s shaped like a. However, recurrence is a known possible outcome. in 1920 dr walter ellis sistrunk described the classic operation of thyroglossal cyst excision; The sistrunk procedure takes about 90 minutes and. . Hyoid Bone Cyst Removal.
From www.cureus.com
Cureus Papillary Carcinoma Within Thyroglossal Duct Cyst A Rare Hyoid Bone Cyst Removal However, recurrence is a known possible outcome. to do this surgery, healthcare providers make an incision in your or your child’s throat so they can remove the cyst, any remaining. they then remove the thyroglossal tract up to its root, including a segment of the hyoid bone. remove a small piece from the inside of your hyoid. Hyoid Bone Cyst Removal.
From www.slideserve.com
PPT CT NECK PowerPoint Presentation ID2036160 Hyoid Bone Cyst Removal remove a small piece from the inside of your hyoid bone (a bone above your adam’s apple that’s shaped like a. The sistrunk procedure involves excision of the cyst but also of the. surgical removal is the definitive treatment; However, recurrence is a known possible outcome. in 1920 dr walter ellis sistrunk described the classic operation of. Hyoid Bone Cyst Removal.
From openi.nlm.nih.gov
Axial noncontrastenhanced CT scan at the level of the Openi Hyoid Bone Cyst Removal remove a small piece from the inside of your hyoid bone (a bone above your adam’s apple that’s shaped like a. The sistrunk procedure involves excision of the cyst but also of the. surgical removal is the definitive treatment; they then remove the thyroglossal tract up to its root, including a segment of the hyoid bone. . Hyoid Bone Cyst Removal.
From www.primehealthchannel.com
Thyroglossal Duct Cyst Pictures, Symptoms, Treatment and Surgery Hyoid Bone Cyst Removal the procedure involves excision of the cyst, central portion of the hyoid bone, and the tract up to the foramen cecum. remove a small piece from the inside of your hyoid bone (a bone above your adam’s apple that’s shaped like a. However, recurrence is a known possible outcome. they then remove the thyroglossal tract up to. Hyoid Bone Cyst Removal.
From www.optecoto.com
Cervical dermoid cysts Operative Techniques in OtolaryngologyHead Hyoid Bone Cyst Removal the procedure involves excision of the cyst, central portion of the hyoid bone, and the tract up to the foramen cecum. remove a small piece from the inside of your hyoid bone (a bone above your adam’s apple that’s shaped like a. The sistrunk procedure takes about 90 minutes and. they then remove the thyroglossal tract up. Hyoid Bone Cyst Removal.
From quizlet.com
Hyoid bone Diagram Quizlet Hyoid Bone Cyst Removal they then remove the thyroglossal tract up to its root, including a segment of the hyoid bone. to do this surgery, healthcare providers make an incision in your or your child’s throat so they can remove the cyst, any remaining. The sistrunk procedure involves excision of the cyst but also of the. in 1920 dr walter ellis. Hyoid Bone Cyst Removal.
From www.researchgate.net
An illustration to show a direction angle of the hyoid bone during Hyoid Bone Cyst Removal surgical removal is the definitive treatment; the procedure involves excision of the cyst, central portion of the hyoid bone, and the tract up to the foramen cecum. to do this surgery, healthcare providers make an incision in your or your child’s throat so they can remove the cyst, any remaining. The sistrunk procedure takes about 90 minutes. Hyoid Bone Cyst Removal.
From www.researchgate.net
Hyoid bone (a) Anterior view in Winsurf; (b) Right side view in Hyoid Bone Cyst Removal However, recurrence is a known possible outcome. to do this surgery, healthcare providers make an incision in your or your child’s throat so they can remove the cyst, any remaining. in 1920 dr walter ellis sistrunk described the classic operation of thyroglossal cyst excision; The sistrunk procedure takes about 90 minutes and. they then remove the thyroglossal. Hyoid Bone Cyst Removal.
From www.youtube.com
Bone Cyst Removal Inside the OR YouTube Hyoid Bone Cyst Removal The sistrunk procedure takes about 90 minutes and. in 1920 dr walter ellis sistrunk described the classic operation of thyroglossal cyst excision; they then remove the thyroglossal tract up to its root, including a segment of the hyoid bone. surgical removal is the definitive treatment; to do this surgery, healthcare providers make an incision in your. Hyoid Bone Cyst Removal.
From www.researchgate.net
The position of the hyoid bone Download Scientific Diagram Hyoid Bone Cyst Removal However, recurrence is a known possible outcome. to do this surgery, healthcare providers make an incision in your or your child’s throat so they can remove the cyst, any remaining. surgical removal is the definitive treatment; they then remove the thyroglossal tract up to its root, including a segment of the hyoid bone. The sistrunk procedure involves. Hyoid Bone Cyst Removal.
From healthjade.net
Hyoid bone anatomy, location, dislocation, fracture & hyoid bone syndrome Hyoid Bone Cyst Removal remove a small piece from the inside of your hyoid bone (a bone above your adam’s apple that’s shaped like a. they then remove the thyroglossal tract up to its root, including a segment of the hyoid bone. The sistrunk procedure involves excision of the cyst but also of the. However, recurrence is a known possible outcome. The. Hyoid Bone Cyst Removal.
From healthcareversity.com
Hyoid Bone Pops Out of Place (Hyoid Syndrome, Dislocations, and Hyoid Bone Cyst Removal However, recurrence is a known possible outcome. in 1920 dr walter ellis sistrunk described the classic operation of thyroglossal cyst excision; the procedure involves excision of the cyst, central portion of the hyoid bone, and the tract up to the foramen cecum. they then remove the thyroglossal tract up to its root, including a segment of the. Hyoid Bone Cyst Removal.